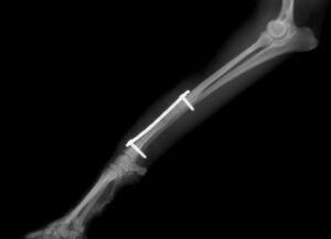
こんばんは、フジタどうぶつ病院です。今日はトイ・プードルの橈尺骨骨折の治療についてご報告させて頂きます。トイ・プードルは脚が長く、骨が細いので非常に骨折が多い犬種です。椅子やソファーから降りた時に折れたり、中には飼い主さんの後ろを歩いていて気づいたら脚を挙げていて病院でレントゲンを撮ったら折れていた、ということもあるようです。今回の症例報告のワンちゃんは椅子から降りた時に折れてしまったようです。下の写真が病院に来院時に撮ったレントゲン写真です。前脚の橈骨と尺骨が折れています。
治療はプレートで固定する方法を行いました。骨折位置が橈骨先端に比較的近い位置だったことと、トイ・プードルは骨の増生が悪いことで有名なので少し気を遣う症例でした。プレートはステンレスプレートを用いました。手術直後が下の写真です。
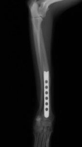
手術後1か月は外固定で補助します。その後、レントゲンで問題ないことを確認し外固定を外しました。外した後は普通に歩行し、散歩なども普段通りにしてもらいます。獣医師によってはプレートを残したままにすることがありますが、中にはプレート部分の骨が細くなってしまうことがあります。もし仮にプレートが折れてしまった時には大変な手術が必要になることがあります。当院では高齢犬であればプレートを残したままにするのですが、この症例は若かったので上記の心配もありますので、プレートを除去することにしました。ただトイ・プードルは骨の増生が良くないことが多いので、プレートを外した直後に再骨折したということがよくあります。ですので、当院ではプレートを留めているスクリューを段階的に外していきます。下の写真は手術後3か月の時に一部のスクリューを取った写真です。
スクリュー除去前 骨折面は消えています。
スクリュー除去後
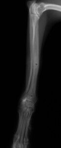
その後、1か月普通に生活していました。レントゲンを撮ったところ、骨は十分に増生していたので、心配ないと判断しプレートを取りました。プレート除去前
プレート除去後
プレート除去後は何の問題もなく生活しています。うまくいきました。
トイ・プードル、チワワ、ポメラニアンなどは非常に骨が細くて骨折することが多いので、十分に気を付けて頂ければと思います。
