こんにちは、フジタどうぶつ病院です。
時間がありませんでしたので、久しぶりの症例報告になります。
地域ネコとして外で飼ってられるネコちゃんが交通事故に遭ったと、運ばれてきました。診察当初は後ろ足の両方が動かない状態と診られたので、脊椎、脊髄損傷もあるのでは、と思われました。
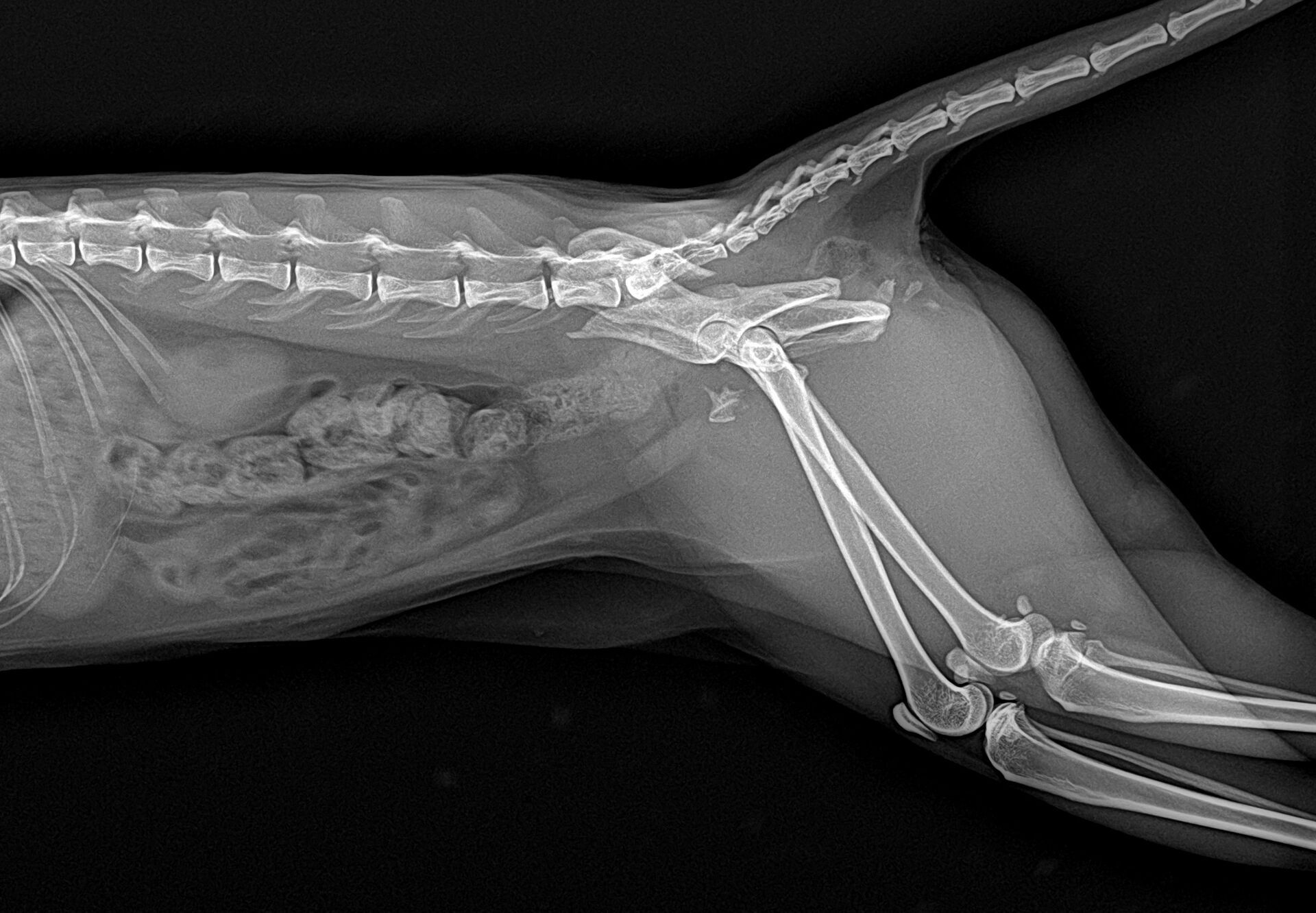
まずはレントゲンを撮りました。それが以下の写真です。
左側の骨盤(腸骨と座骨)が骨折しています。幸い仙腸関節は問題ないかと思われました。
来院当日は血尿を出していたので、尿道が損傷しているのではと心配しましたが、血液検査を行ったところ正常でしたので、尿道は問題ないと判断しました。また、脊椎骨も損傷が認めらなかったので、脊髄は問題ないかと思われましたが、安心はできない状態です。
当日から2日間点滴したところ、後肢を動かし始めたので脊髄は問題ないと判断し、骨盤の整復術を行いました。その結果が以下の写真です。
骨盤整復はうまくいったのですが、右側の仙腸関節が脱臼していることが判明しました。スクリューなどの準備をして後日再手術をすることになりました。
以下が仙腸関節の整復後の写真です。
骨盤骨折整復後ももう一つ食欲がなく強制給餌をしていましたが、仙腸関節脱臼整復後は食欲が出てきました。痛みがあって食欲がでなかったのしょう。脱臼整復後は順調に回復し退院していきましたが、まだまだ外に出すことはできません。1か月はケージレストで過ごさないとなりません。ネコちゃんは外で生活していると危険な目に遭うことが多いです。できればおうちの中で飼っていただきたいところですが、色々な事情があるとしょうがないですね。
